1. Inleiding
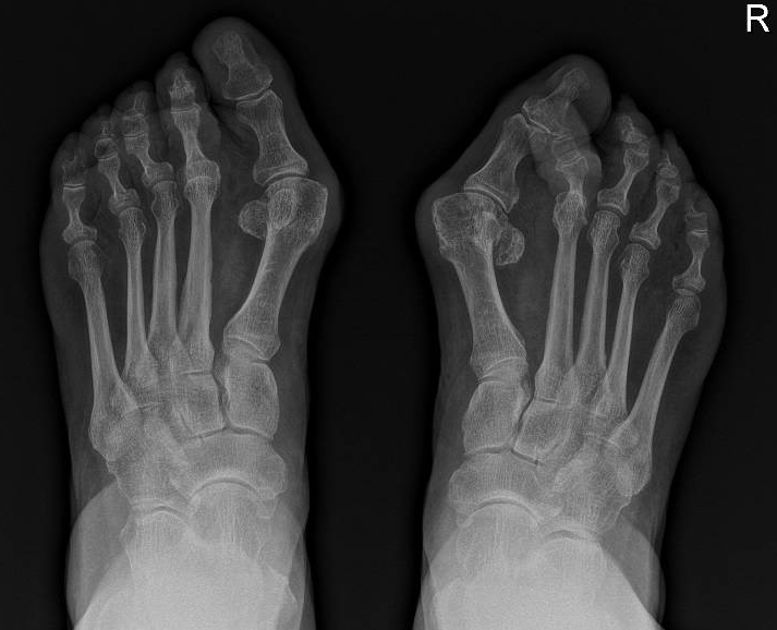
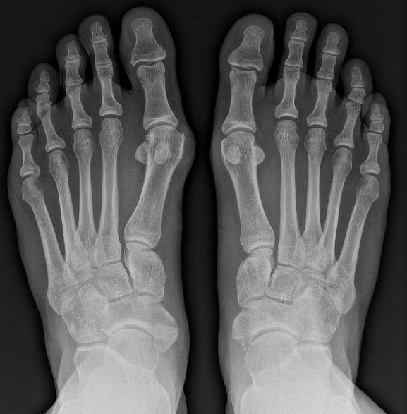
“Hallux” betekent grote teen. Van zodra de grote teen afwijkt in de richting van de kleine teen spreken wa van een “Valgus” asafwijking. Hierbij ontstaat onvermijdelijke een beenderige uitstulping aan de binnenzijde van de voet, de zogenaamde “bunion”. Deze aandoening is progressief van aard en kan over meerdere tientallen jaren toenemen voor dat u klachten ervaart.
Deze asafwijking verstoort de biomechanica van de voorvoet. Hierdoor wordt het gewicht van uw lichaam niet meer ten volle gedragen door uw dikke teen, maar wel door de naastliggende tenen. Op termijn kan dit leiden tot een overbelasting van de middenvoetsbeenderen (de metatarsalen). Deze aandoening noemen we dan ‘transfer metatarsalgie’. Dit is de reden waarom er niet alleen pijn thv de bunion kan zijn maar ook ter hoogte van de voorvoet bij het afrollen van de voet.
Daarnaast kunnen er ook afwijkingen ter hoogte van de tenen ontstaan: hamerteen, klauwteen, krulteen.

Oorzaken
Verschillende oorzaken zijn beschreven voor het ontstaan van deze aandoening:
• Familiaal (genetisch)
• Dragen van hoge hakken
• Dragen van nauwe schoenen
• Reumatoide arthritis en patiënten met een platvoet kunnen een hallux valgus ontwikkelen.
Klachten
• Pijnlijke rode bunion. Deze klacht neemt vaak toe bij dragen van nauwe schoenen of hoge hakken
• Pijn onder de voorvoet (metatarsalgie) soms met eeltvorming
• Pijnlijke hamerteen thv de 2e straal door druk van de dikke teen
Diagnose

De diagnose wordt gesteld aan de hand van een klinisch onderzoek in combinatie met de nodige staande radiografieën van de beide voeten.
Behandeling
- Niet-operatieve behandeling:
- • Aanpassen van schoeisel
- • Hoge hakken en nauwe schoenen vermijden
- • Een steunzool kan de klachten verminderen, maar de progressie niet verhinderen
- • Een nachtelijke orthese of brace. De progressie zal echter niet gestopt worden.
- Operatieve behandeling:
Bij falen van het niet-operatieve beleid kan een operatie overwogen worden.
Er bestaan in de orthopedische literatuur meer dan 150 verschillende technieken op een hallux valgus te corrigeren. Het doel van al deze technieken is echter dezelfde: de eerste straal realigneren met behoud van mobiliteit en functionaliteit van de voet.
De meest klassieke techniek is de Scarf-Akin osteotomie. Hierbij wordt het eerste middenvoetsbeen (metatarsaal) op een speciale manier doorgezaagd en terug in de juiste positie geplaatst/opgeschoven. Vaak wordt dit gefixeerd met één of twee schroeven zodat het bot niet opnieuw kan verplaatsen. Soms kan dit ook gefixeerd worden zonder schroeven, dit hangt echter van het kwaliteit van uw bot af. Vervolgens wordt het bot ter hoogte van de teen ook recht gezet (Akin procedure) en gefixeerd met een schroef.
Opgelet!
Indien u ook klachten van metatarsalgie heeft of een hamerteen kan het noodzakelijk zijn dat ook deze gecorrigeerd worden. In dit geval zal dit met u besproken worden op de consultatie.